
iRadTech is a comprehensive radiographic positioning guide designed for medical imaging professionals and students. This application serves as an essential digital reference similar to traditional pocket guides, offering detailed instructions for over 200 radiographic positions.
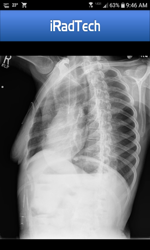
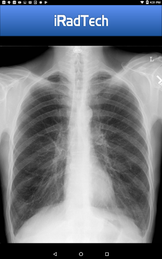
The app provides technical factors, image receptor specifications, patient positioning guidance, respiration instructions, and precise central ray details. It also features representative radiographic images that can be enlarged for better inspection, ensuring accurate positioning and image quality.
With functions like search, My Routines, and My Notes, iRadTech enhances workflow efficiency and study practices. Developed using ARRT Content Specifications and referenced to the ASRT Radiography Curriculum, it is an invaluable tool for both learning and professional practice.
iRadTech offers a rich set of features tailored for radiography education and practice. The app includes suggested digital imaging systems technical factor settings for nearly all positions, aiding in achieving optimal image quality.
One standout feature is the enlargeable photographs of properly positioned human models, clearly showing the collimated area with central ray entry points. Additionally, each position contains a helpful NOTE tab where users can save techniques or other relevant information.
The app's search function allows quick retrieval of specific positions, while My Routines lets users group selected positions into routines. These robust functionalities make iRadTech an indispensable tool for radiography students, technologists, and clinical instructors.
In the field of medical imaging, having access to credible and expert-reviewed content is crucial for both professionals and students. iRadTech ensures the highest level of accuracy by developing its content using ARRT Content Specifications, which guarantees that nearly all entry-level radiographic positions are covered.
The application provides detailed instructions for more than 200 radiographic positions, each meticulously crafted and referenced to the most recent ASRT Radiography Curriculum and national positioning texts. This rigorous approach ensures that users can rely on the information provided for their clinical practice.
What sets iRadTech apart is the involvement of two Ph.D. radiography educators with over 30 years of teaching experience each. Their expertise in writing and editing the content adds an extra layer of credibility, making it a trusted resource for learning and professional reference.
Users benefit from not only the comprehensive coverage of standard positions but also the inclusion of 'OPTIONAL' positions. These handy references, though not listed on the ARRT Radiography Content, are recommended by experienced educators as useful in real-world scenarios.
While iRadTech does not offer teleconsultation services directly, it enhances the quality of remote consultations through its detailed radiographic positioning guide. Medical professionals can use the app to ensure accurate positioning, which is critical for obtaining reliable diagnostic images during teleconsultations.
The app includes suggested digital imaging systems technical factor settings for all positions, except nephrotomography. This feature allows practitioners to quickly adjust their equipment settings, ensuring high-quality images that are essential for effective remote diagnosis and consultation.
iRadTech's representative radiographic images and properly positioned human model photographs further support teleconsultation quality. These enlargeable visuals help practitioners verify correct positioning and collimation, leading to better communication and understanding between healthcare providers and patients.
Additionally, the My Routines and My Notes functions enable users to organize selected positions into saved routines and save notes unrelated to specific positions. These tools facilitate efficient workflow management, allowing healthcare professionals to focus more on patient care during teleconsultations.
Comprehensive Positioning Guide
High-Quality Radiographic Images
User-Friendly Interface
Efficient Search Functionality
Expert-Developed Content
Optional Positions Not ARRT-Listed
Limited to Radiography Field
No Interactive Simulations
Premium Price Point
Occasional Update Delays

Identify pills, search different drugs, get drug information and much more!

Perform pure-tone audiometry and a speech intelligibility test on your phone.

A rapid reference for prehospital providers caring for pediatric patients.

Personalized hearing experience and health data tracking

Take on apraxia and aphasia with a powerful video-driven speech therapy app.

Your pocket guide to following The Monash University Low FODMAP diet.

Get your lab results on your smartphone with MyQuest.

The Client Portal app empowers you to manage care from one secure place

Get Rx fast at the pharmacy, schedule health care, and shop ExtraCare savings.

myVCA is your tailor-made guide to raising a healthy and happy pet.

Boost reading, writing, speaking and listening with a scientifically proven app.

Blue Cross and Blue Shield of Texas member information

Use the phone microphone or headset mic as sound amplifier for louder hearing.

Voice pitch monitor for speech therapy, LSVT, Parkinson's, singing & trans

MySafeRide simplifies booking and managing rides for health plan members.
User Reviews